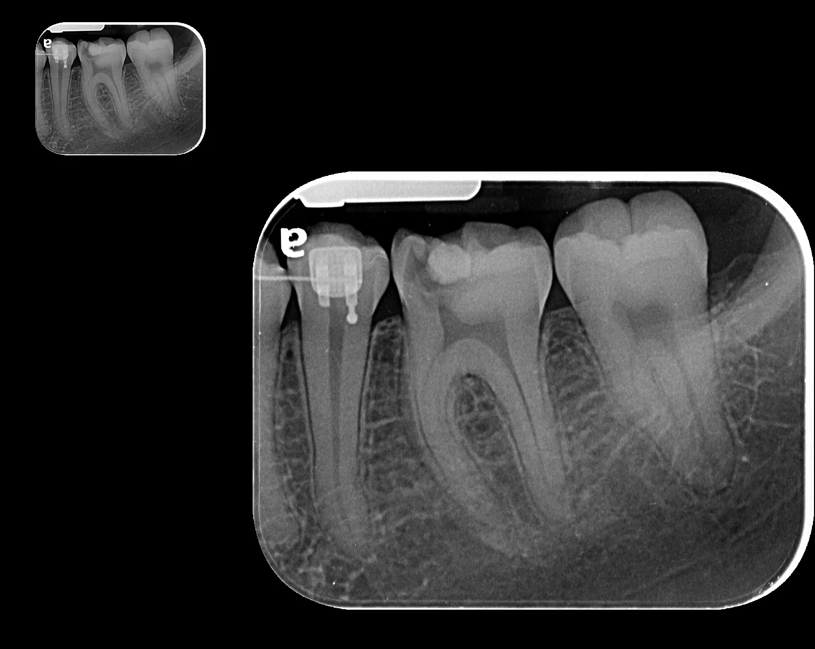
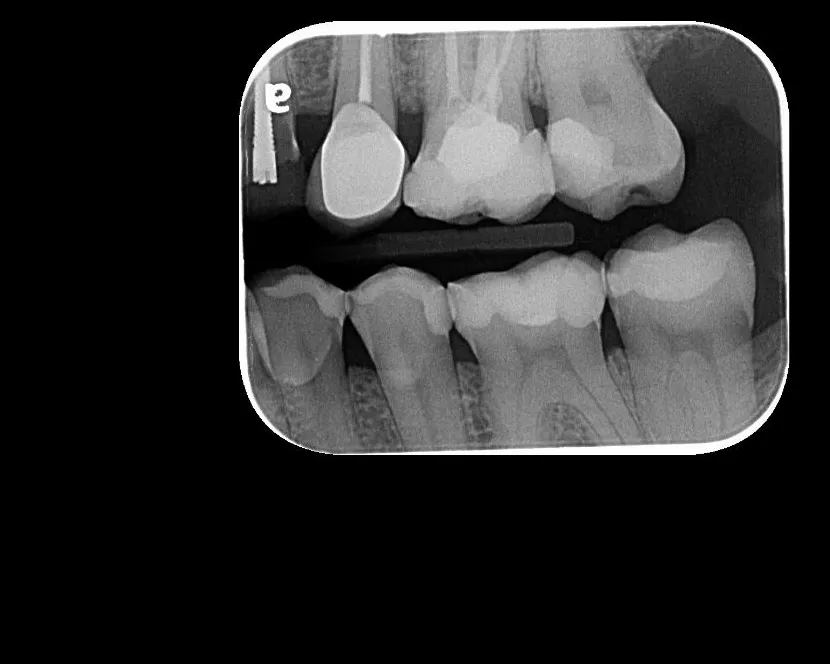
Radiografía Intraoral

La radiografía intraoral permite observar con gran detalle los dientes y las estructuras que los rodean. Es una herramienta fundamental para detectar caries, infecciones, fracturas, alteraciones en la raíz dental o en el hueso de soporte.

En MS Radiología Dentofacial, utilizamos equipos digitales de alta precisión que reducen la exposición a radiación y garantizan imágenes nítidas para un diagnóstico confiable.

  • Procedimiento rápido, cómodo y completamente seguro.
  • Resultados inmediatos con excelente calidad de imagen.
  • Ideal para tratamientos de endodoncia, implantología y control preventivo.