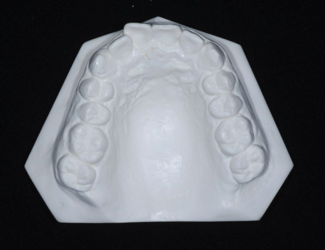
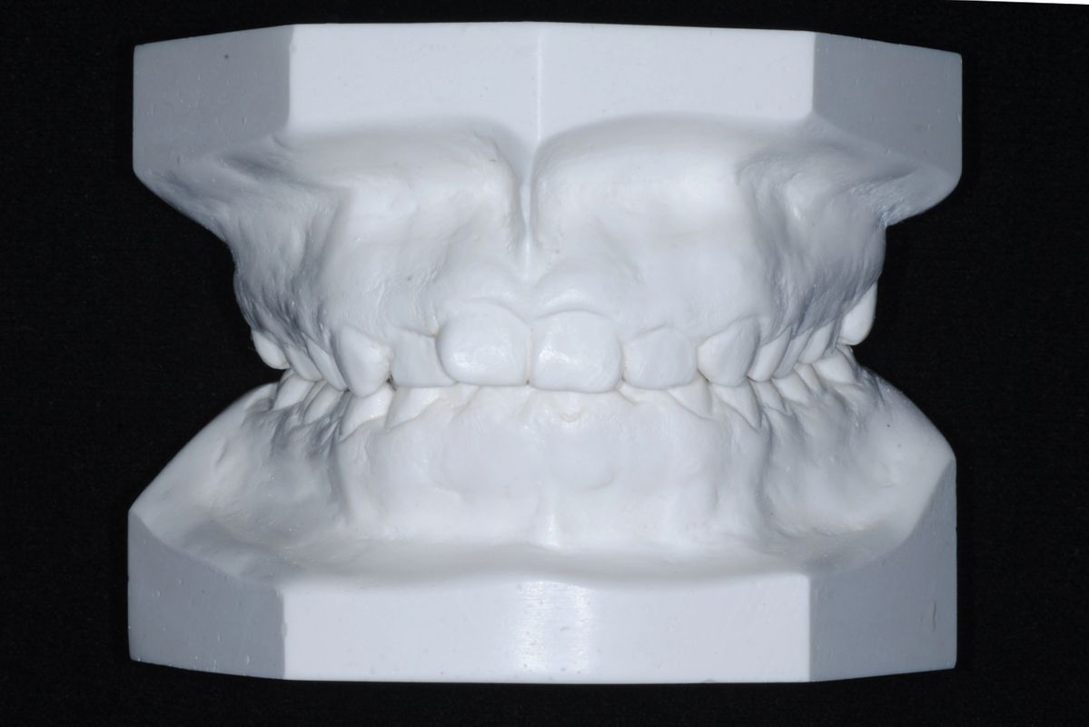
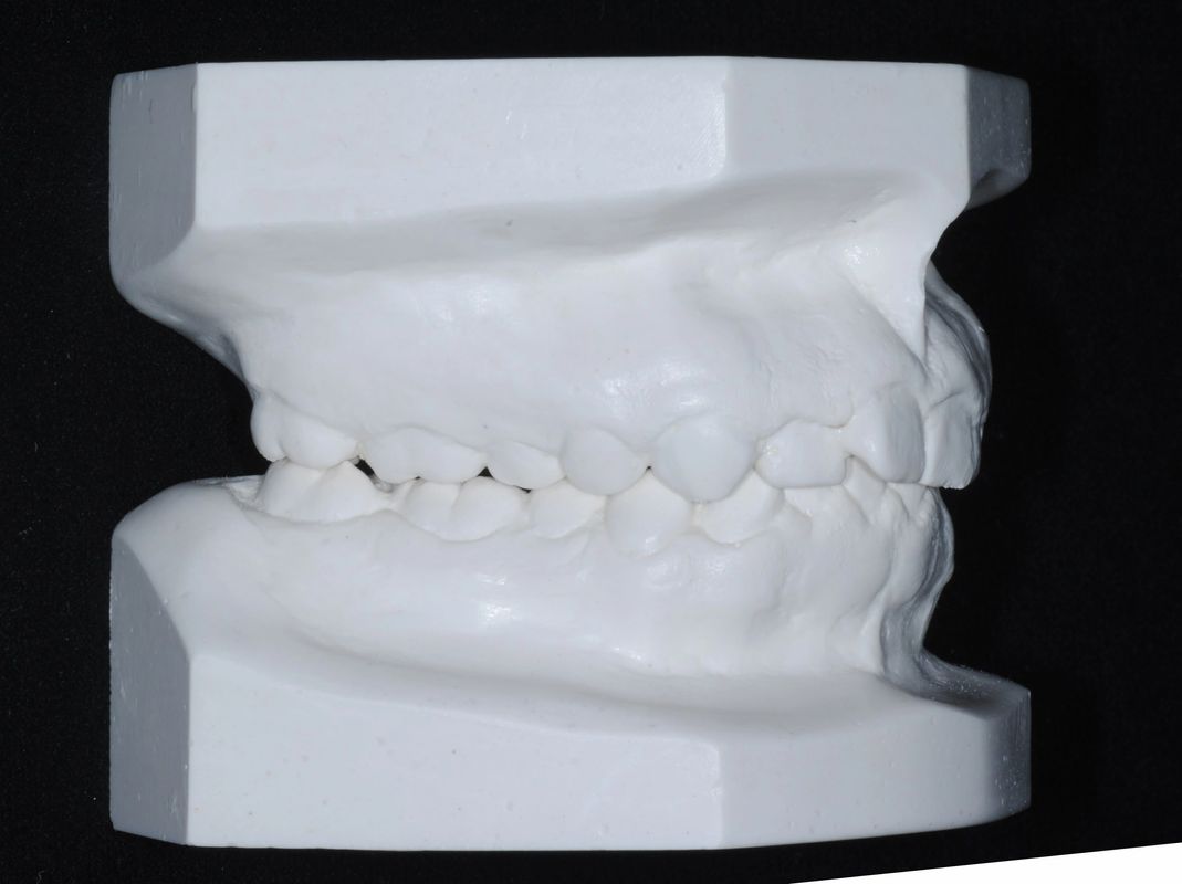
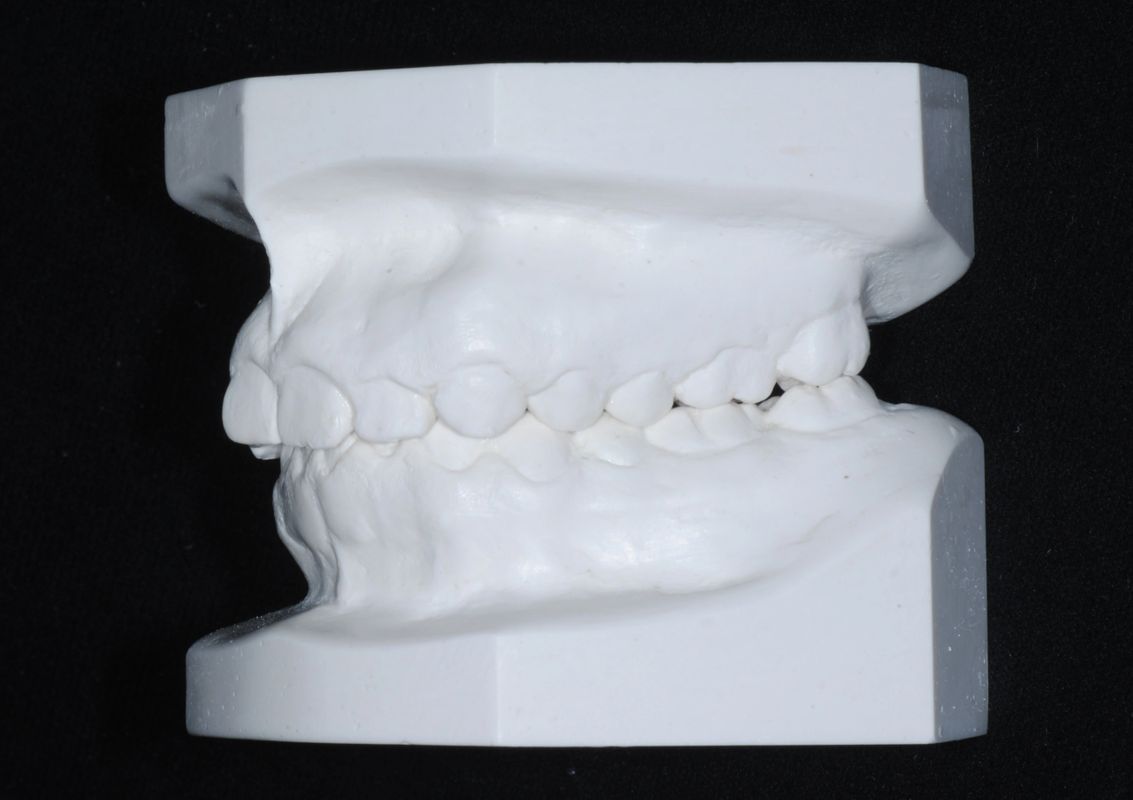
Modelos de Yeso

Los modelos de yeso son réplicas exactas de la estructura dental del paciente, obtenidas a partir de impresiones de las arcadas superior e inferior. Este procedimiento es rápido, cómodo y no invasivo, y permite obtener una representación tridimensional de la boca.

Estos modelos son fundamentales en ortodoncia, rehabilitación y estética dental, ya que brindan información precisa sobre la posición de los dientes y la mordida. Además, al ser elaborados con un yeso especial, son resistentes y duraderos, lo que permite conservarlos como referencia durante todo el tratamiento.