MS Radiología Dentofacial

Diagnósticos precisos con tecnología de última generación en Bogotá

Bienvenido a MS Radiología Dentofacial

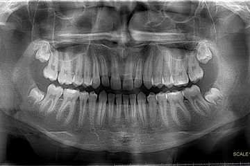
Somos especialistas en diagnóstico radiológico y tomográfico enfocado en el área oral y maxilofacial. Contamos con tecnología de última generación para realizar Tomografías 3D Cone Beam, radiografías intraorales y extraorales y fotografía clínica.

  • Rápido - Eficaz.
    Nos destacamos por ofrecer servicios precisos, seguros y de alta calidad, convirtiéndonos en el aliado ideal de los profesionales de la salud oral.
  • Comodidad y cercanía.
    Nuestro compromiso es brindar atención confiable y personalizada cerca a ti en Bogotá.
Equipo radiológico

Sobre Nosotros

Brindando diagnósticos precisos y confiables en Bogotá por más de 15 años.

En nuestro centro, creemos que cada paciente merece un diagnóstico preciso y una atención cómoda. Nuestro equipo de especialistas combina tecnología de última generación con un enfoque cálido para brindarle los mejores resultados en radiología dental.

Resultados de alta calidad.

Equipos de ultima generación.

Atención personalizada.

Estándares internacionales.

Rapidez en la entrega de resultados.

Diagnósticos precisos en los que puedes confiar

Radiología dental avanzada con un toque personal


15+
Años
5k+
Pacientes
99%
Satisfacción

Preguntas Frecuentes

No, es un procedimiento rápido, seguro y sin dolor.

Si se encuentra en embarazo comentarle al personal que la atiende

No, se atiende por orden de llegada

Testimonios

"Excelente atención y resultados muy precisos. Recomiendo este centro."

Paciente satisfecho

"Confío en este centro para referir a mis pacientes. Tecnología de primera."

Dr. Ramírez

Contacto y Ubicación

MS radiología y tomografía está ubicado en el barrio Galerías en Bogotá.

Teléfono: (601) 3481877

Celular: 3004075028

Email: rxdigitalgalerias@yahoo.com

Horarios: Lunes a Viernes 7:30 - 17:30 (jornada continua).
Sabados 7:30-13:30.

Chat en WhatsApp